Ministerio de Ciencia e Innovación

Demuestran el impacto del infiltrado inmune intratumoral en el pronóstico de carcinoma de cabeza y cuello no relacionado con VPH

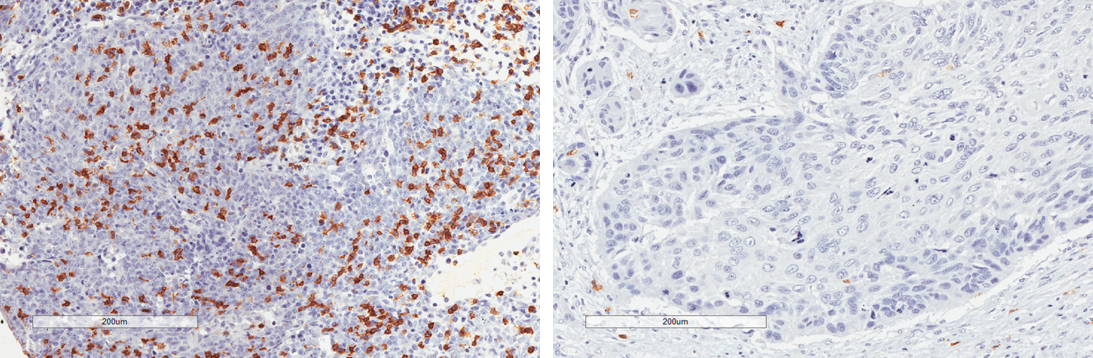
(*)
CIBER | lunes, 8 de junio de 2020

Investigadores del Programa de Tumores Respiratorios del CIBERONC han demostrado el impacto del infiltrado inmune intratumoral en el pronóstico de pacientes con carcinoma de cabeza y cuello no relacionado con el virus del papiloma humano (VPH), que reciben tratamiento con cirugía.

El carcinoma escamoso de cabeza y cuello (CECC) es un tumor frecuente, sexto en incidencia a nivel mundial, con unos 600.000 nuevos casos al año, encontrándose España entre los países con incidencia más alta, con unos 9.000 nuevos casos al año. Su etiología se asocia principalmente con el consumo de tabaco y alcohol, aunque se está produciendo un incremento progresivo de los casos causados por infección del VPH, los cuales difieren en características genéticas, clínicas y respuesta inmunológica y se clasifican como una entidad independiente a los provocados por tabaco/alcohol. El tratamiento de estos tumores sigue recayendo fundamentalmente en la resección quirúrgica y la radioterapia, combinada en ocasiones con quimioterapia (siendo el agente más eficaz el cisplatino). En los últimos años apenas se han incorporado novedades terapéuticas al tratamiento de los CECC, siendo el anticuerpo anti-EGFR Cetuximab, el único fármaco aprobado dirigido a dianas moleculares. La reciente demostración de la eficacia de la inmunoterapia dirigida a los puntos de control inmune en diferentes tipos de cáncer ha impulsado que los anticuerpos anti-PD-1 nivolumab y pembrolizumab hayan sido aprobados para el tratamiento de pacientes con CECC y, como consecuencia, el interés en el estudio del microambiente inmune tumoral.

En este trabajo se ha realizado un análisis conjunto de la infiltración inmune tumoral por linfocitos T citotóxicos (CD8+) y reguladores (FOXP3+) y la expresión de las proteínas PD-1 y PD-L1 en una amplia cohorte de 372 pacientes con CECC VPH-negativos tratados de forma homogénea (cirugía más radioterapia complementaria). Los casos con elevada infiltración por linfocitos T citotóxicos (LTC) mostraban un mejor pronóstico, independientemente de los parámetros clínicos y patológicos, y la infiltración por estos linfocitos se correlacionaba con la infiltración por linfocitos T reguladores y la expresión de PD-L1. De acuerdo con estudios realizados en otros tumores, la combinación de la infiltración por linfocitos T citotóxicos y la expresión de PD-L1 permite definir cuatro tipos de respuesta inmune: Tipo I (PD-L1 positivo/Alta infiltración por LTC; resistencia inmune adaptativa), Tipo II (PD-L1 negativo/Baja infiltración por LTC; ignorancia inmunológica), Tipo III (PD-L1 positivo/Baja infiltración por LTC; inducción intrínseca de PD-L1), y Tipo IV (PD-L1 negativo/Alta infiltración por LTC; tolerancia inmunológica).

"En nuestro estudio hallamos un predominio de los casos con microambiente tipo II (43%), seguidos por los de tipo IV (28%), los de tipo I (20%) y los de tipo III (9%), lo cual coincide con lo observado en otros tumores del tracto respiratorio, como los escamosos de pulmón. Aún más importante, este parámetro combinado del tipo de microambiente inmune emerge como un predictor independiente del pronóstico de los pacientes con CECC, siendo el tipo I de mejor pronóstico" asegura Juan P. Rodrigo coordinador del estudio y jefe de grupo del CIBERONC en el Hospital Universitario Central de Asturias.

Por otra parte, "este subgrupo de pacientes con el microambiente tipo I serían los que potencialmente más se beneficiarían de la inmunoterapia anti-PD-1/PD-L1. Dado que la proporción de casos tipo I coincide con el porcentaje de respuesta observada a estos inhibidores en los ensayos clínicos (en torno al 20% en pacientes con CECC), esta clasificación del microambiente inmune probablemente pueda tener utilidad como criterio de estratificación de los pacientes que reciban estas terapias, lo cual se deberá comprobar en futuros estudios", concluye el Dr. Rodrigo.

En este trabajo han colaborado investigadores de dos grupos del Programa de Tumores Respiratorios del CIBERONC: el grupo de Cáncer de Cabeza y Cuello del ISPA-Hospital Universitario Central de Asturias, IUOPA-Universidad de Oviedo, y el grupo del Programa de Tumores Sólidos del CIMA-Universidad de Navarra.

(*) Imagen: ejemplos de un tumor con elevada infiltración (izquierda) y otro con baja infiltración (derecha) por linfocitos T citotóxicos (CD8+).

Referencia del artículo

PD‑L1 expression correlates with tumor‑infiltrating lymphocytes and better prognosis in patients with HPV‑negative head and neck squamous cell carcinomas

Cancer Immunology, Immunotherapy