Ministerio de Ciencia e Innovación

El papel de la proteína LOXL2 en la metástasis de cáncer de mama

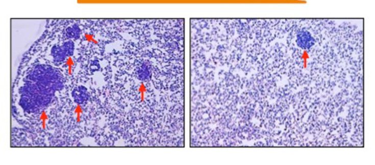
Cortes histológicos de pulmones con metástasis (flechas rojas). Izquierda: metástasis originadas a partir de tumores con niveles normales de Loxl2. Derecha: metástasis producidas a partir de tumores en los que se ha eliminado Loxl2. / UAM
Agenciasinc | miércoles, 14 de febrero de 2018

Investigadores de la Universidad Autónoma de Madrid (UAM), el Instituto de Investigaciones Biomédicas Alberto Sols (centro mixto UAM-CSIC) y la Fundación MD Anderson de Madrid, pertenecientes a CIBERONC e IdiPAZ, junto a colaboradores del IDIS (Santiago de Compostela) y la Universidad de California (EE UU), han logrado identificar el mecanismo mediante el cual la proteína LOXL2 (Lisil Oxidasa Like-2) promueve la metástasis en cáncer de mama.

En el desarrollo de la metástasis se han definido dos eventos moleculares claves, capaces de mediar la progresión del tumor primario. El primer evento se asocia a la capacidad que adquieren las células tumorales de diseminarse por el organismo e invadir órganos diferentes al de origen. El conjunto de modificaciones celulares y moleculares implicadas en la adquisición de esas características conforma un proceso complejo que se conoce como “Transición Epitelio-Mesénquima” (TEM).

El segundo evento consiste en que el tumor primario adquiere la capacidad de acondicionar aquellos lugares donde se desarrollarán las metástasis a distancia. El conjunto de modificaciones que sufren los diferentes órganos, bajo la influencia del tumor primario, y que permiten la implantación y el crecimiento de las células metastásicas, es un proceso complejo definido como “formación del nicho premetastásico”.

El grupo liderado por Amparo Cano y Francisco Portillo, investigadores del CIBERONC del departamento de Bioquímica de la UAM, ha estado trabajando durante los últimos años en la caracterización del proceso de TEM, sus mecanismos de regulación y su implicación en el desarrollo de las metástasis. Hasta ahora habían descrito la capacidad de la proteína LOXL2 de inducir TEM, gracias a su capacidad para estabilizar a la proteína SNAIL1 (un factor inductor de TEM).

Además, estudios previos del mismo grupo ya habían identificado que en determinados subtipos de cáncer de mama, LOXL2 se encuentra sobrexpresada y que esta sobrexpresión está relacionada con la capacidad metastásica del tumor. Sin embargo, el mecanismo mediante el cual LOXL2 favorece la metástasis en el contexto de cáncer de mama era desconocido hasta ahora.

El reciente estudio del grupo, publicado en la revista Cancer Research, demuestra que LOXL2 favorece la generación de la metástasis in vivo gracias no solo a su capacidad de promover el proceso TEM sino también favoreciendo la creación del nicho premetastásico.

Para demostrar esto, los investigadores generaron dos modelos genéticos complementarios que permiten eliminar o sobrexpresar LOXL2 en la glándula mamaria en el contexto de un ratón transgénico capaz de desarrollar cáncer de mama y metástasis a pulmón, mimetizando así lo que acontece en humanos.

Los datos obtenidos indican que la eliminación de LOXL2 disminuye drásticamente el número y tamaño de las metástasis pulmonares mientras que su sobrexpresión aumenta considerablemente ambos parámetros.

“Estos resultados demuestran por primera vez el papel prometastásico de LOXL2 in vivo”, asegura Amparo Cano.

LOXL2 favorece la metástasis

Para determinar el mecanismo mediante el que LOXL2 optimiza la formación de metástasis en pulmón, los investigadores analizaron también en ambos modelos genéticos diversos parámetros indicativos de la formación de un nicho premetastásico.

Los resultados obtenidos muestran que la eliminación de LOXL2 en el tumor primario disminuye la formación del nicho premetastásico mientras que el comportamiento contrario se observa en el modelo complementario de sobrexpresión de LOXL2.

“Estos datos sugieren que la presencia de LOXL2 en el tumor primario promueve las condiciones necesarias para la formación a distancia de un nicho en donde las células tumorales pueden anidar para dar lugar posteriormente a una metástasis”, explica Amparo Cano.

De forma adicional, el estudio contempla el análisis de líneas celulares derivadas de los tumores de mama obtenidos en ambos modelos.

Al profundizar en los mecanismos moleculares por los que LOXL2 actúa como factor prometastásico, los investigadores han confirmado que en parte se debe a un incremento en la proteína SNAIL1, que a su vez podría estar relacionado con un incremento en el número de células derivadas del tumor primario que son capaces de diseminarse y entrar en el torrente sanguíneo (células tumorales circulantes).

En conjunto, los datos obtenidos en este estudio abren nuevas perspectivas de análisis de biomarcadores tumor-específicos, como LOXL2, capaces de mediar el complejo desarrollo de la metástasis. “Indudablemente, son necesarios estudios adicionales para confirmar a corto-medio plazo la aplicación de los resultados en pacientes”, concluyen los autores.

Referencia bibliográfica:

Fernando Salvador, Alberto Martin, Celia Lopez-Menendez, Gema Moreno-Bueno, Vanesa Santos, Alberto Vazquez-Naharro, Patricia G. Santamaria, Saleta Morales, Pierre R. Dubus, Laura Muinelo-Romay, Rafael Lopez-Lopez, Jason C. Tung, Valerie M.Weaver, Francisco Portillo and Amparo Cano. Lysyl Oxidase–like Protein LOXL2 Promotes Lung Metastasis of Breast Cancer. Cancer Research. DOI: 10.1158/0008-5472.CAN-16-3152