Ministerio de Ciencia e Innovación

La concentración del receptor de vitamina D aumenta en una etapa temprana de la enfermedad del hígado graso no alcohólico y promueve la esteatosis

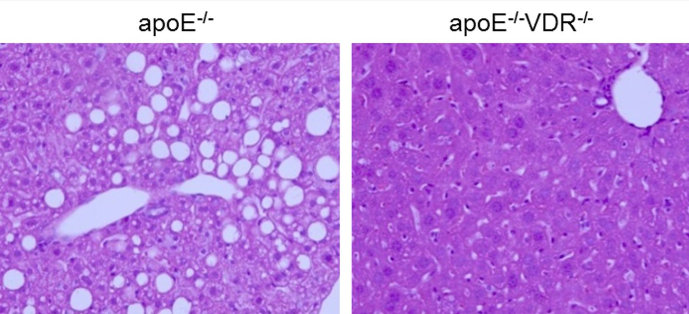
La deleción del gen VDR (VDR-/-) previene la esteatosis hepática inducida por una dieta rica en grasa en ratones apoE KO.
CIBER | lunes, 1 de enero de 0001

Un trabajo en el que han participado investigadores de diversos grupos del CIBEREHD ha descubierto que la concentración del receptor de vitamina D (VDR) aumenta en los hepatocitos, las células principales del hígado, en una etapa temprana del desarrollo de la enfermedad del hígado graso no alcohólico (EHGNA), la patología hepática más frecuente en el mundo.

Esta investigación ha hallado este incremento de VDR tanto en los hígados de los ratones utilizados como modelo como en los seres humanos con la enfermedad. Si se elimina el VDR, hay cambios importantes en el metabolismo de los lípidos en los hepatocitos y no se acumula grasa en el hígado. Los autores llegan a la conclusión de que el receptor VDR promueve la EHGNA y sugieren que su modulación o inhibición (terapéutica) selectiva en el hígado podría revertir esta enfermedad en sus inicios.

El trabajo, publicado en Journal of Hepatology, ha sido coordinado por Ramiro Jover, investigador del CIBEREHD en la Unidad de hepatología Experimental del Instituto de Investigación Sanitaria del Hospital La Fe de Valencia (IIS La Fe), y José Manuel Validivielso, del IRB Lleida. La primera firmante es Milica Bozic, también del IRB Lleida. En esta investigación, han participado también Sonia Sánchez-Campos, investigadora del CIBEREHD en el IBIOMED de la Universidad de León, y Carmelo García-Monzón, investigador del CIBEREHD en el IIS La Princesa de Madrid.

Los mecanismos que conducen al EHGNA todavía no se conocen completamente, pero las evidencias encontradas apoyan múltiples mecanismos y factores de riesgo. Hay numerosos condicionantes aceptados, como el estilo de vida sedentario, la dieta no equilibrada, el exceso de calorías, las variantes genéticas o los medicamentos, que favorecen la disfunción de diversas rutas metabólicas y el incremento de ácidos grasos libres en el torrente circulatorio, los cuales terminan por acumularse en las células del hígado donde provocan múltiples alteraciones fisiopatológicas. Recientemente se ha demostrado que en este proceso de captación y acumulación de grasa en el hígado intervienen algunos factores de transcripción de la familia de los receptores nucleares, como PPARa, PPARg, LXR o FXR.

Estos hallazgos han despertado el interés en los receptores nucleares como posibles factores implicados en la patogénesis de la EHGNA y también como potenciales dianas terapéuticas. Sin embargo, hasta ahora no se había prestado atención a un importante miembro de esta familia: el receptor de vitamina D (VDR).

El VDR media los efectos biológicos de la vitamina D a través de la activación de diversos genes. El VDR es abundante en el intestino, los riñones, los huesos y la glándula paratiroidea donde se activa por la vitamina D para controlar la homeostasis del calcio y el fósforo. Pero en realidad el VDR está presente en casi todas las células lo que sugiere una función más amplia.

En el hígado, el posible papel del VDR ha pasado desapercibido durante mucho tiempo debido a que su concentración es muy baja en los hepatocitos. Sin embargo, aunque a baja concentración, el VDR está allí y puede activar varios genes relacionados con el metabolismo de los ácidos biliares. De hecho, uno de estos ácidos biliares es capaz de unirse y activar el VDR, de un modo similar a la vitamina D. Esto indica que el VDR también puede ser relevante en la fisiología y patología del hígado. De hecho, las alteraciones en la expresión de VDR, que son importantes en numerosas enfermedades, también son críticas para algunos trastornos hepáticos tales como cirrosis biliar primaria y la hepatitis autoinmune. Sin embargo, un posible papel de VDR en otras patologías hepáticas prevalentes como la EHGNA no se había investigado nunca.

Los autores del estudio publicado en Journal of Hepatology han demostrado por primera vez que la expresión del VDR aumenta en los hepatocitos de los hígados con EHGNA. Lo han comprobado tanto en diferentes modelos de ratón con hepatoesteatosis como en pacientes.

Para valorar la relevancia del VDR en estas condiciones inducidas, han delecionado el gen VDR en ratones y han observado que en estas circunstancias sus hígados no acumulan grasa y no se ponen enfermos, lo que indica que, efectivamente, el VDR inducido en la EHGNA desempeña un papel clave en la aparición de la enfermedad.

Por último, el análisis del mecanismo molecular ha indicado que la promoción de la esteatosis por VDR resulta de la activación de rutas metabólicas para la síntesis y acumulación de lípidos, y de la inhibición de vías para oxidar y eliminar la grasa en los hepatocitos.

EHGNA, la enfermedad hepática más frecuente en el mundo

La enfermedad del hígado graso no alcohólico (EHGNA) abarca un grupo de afecciones en las que el denominador común es la acumulación excesiva de grasa dentro del hígado (esteatosis) en personas que consumen poco alcohol o nada.

La EHGNA es la enfermedad hepática más frecuente en el mundo y la causa más común de alteraciones en las pruebas de funcionalidad hepática en Estados Unidos. En las últimas décadas, la prevalencia de la EHGNA se ha incrementado considerablemente afectando en algunos países a casi un tercio de la población.

Además, en pacientes con sobrepeso y obesidad la enfermedad aparece hasta en un 80 % de los casos. La EHGNA también se observa muy frecuentemente en pacientes con síndrome metabólico, caracterizado por diabetes o prediabetes (resistencia a la insulina), sobrepeso u obesidad, dislipemia (niveles elevados de colesterol y triglicéridos) e hipertensión.

Los pacientes con EHGNA pueden presentar una esteatosis simple, que se podría considerar benigna, ya que dicha grasa bien controlada no debería dañar al hígado. Sin embargo, un porcentaje de los pacientes presentan una afección más grave, llamada esteatohepatitis no alcohólica (EHNA), en la que la acumulación de la grasa se presenta junto con inflamación hepática y diferentes grados de fibrosis. La EHNA sí que es una afección grave, capaz de derivar a cirrosis, cuando el hígado acumula lesiones y tejido fibroso, lo que conduce a que el hígado sea incapaz de funcionar adecuadamente. Algunos pacientes que desarrollan cirrosis terminan necesitando un trasplante de hígado.

Artículo de referencia:

Hepatocyte vitamin D receptor regulates lipid metabolism and mediates experimental diet-induced steatosis