Ministerio de Ciencia e Innovación

Un nuevo tratamiento remite el cáncer de vejiga en ratones

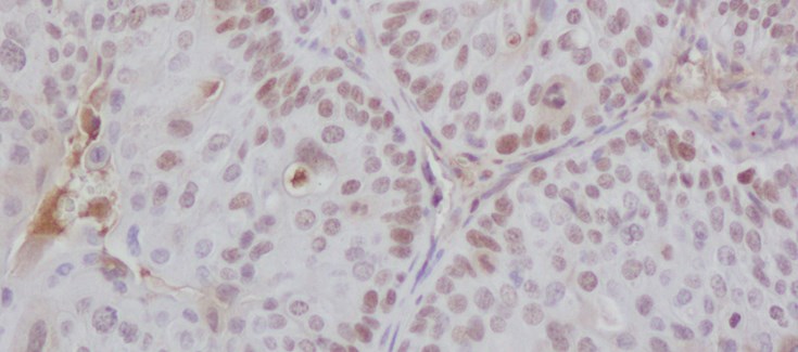
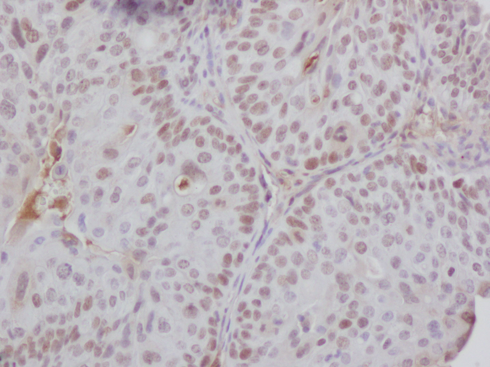
Corte histológico de los tumores de vejiga desarrollados por el modelo de ratón
CIMA | jueves, 4 de julio de 2019

Investigadores de la Clínica Universidad de Navarra y el Cima, su centro de investigación biomédica; junto con científicos del CIEMAT (Centro de Investigaciones Energéticas, Medioambientales y Tecnológicas) y el Hospital Universitario 12 de Octubre, todos ellos integrados el CIBERONC, demuestran en modelos animales la eficacia antitumoral frente al cáncer de vejiga de un tratamiento que combina inmunoterapia y la inhibición conjunta de dos proteínas epigenéticas. Esta novedosa aproximación terapéutica ha demostrado, en el primer mes de tratamiento, la remisión de un 85% de los tumores en los modelos animales. Los resultados se han publicado el último número de la prestigiosa revista Nature Medicine.

El cáncer de vejiga es uno de los cánceres más frecuentes. Según la Asociación Española contra el Cáncer, en nuestro país se diagnostican cerca de 12.200 casos anuales, afectando más a hombres (ocupa el cuarto lugar en incidencia, después de pulmón, próstata y colorrectal) que a mujeres. El problema de este tipo de tumor no es sólo su alta prevalencia y mortalidad, sino que cuando se combate con los tratamientos disponibles hasta la fecha, existe una gran probabilidad de reaparición, incluso en formas más agresivas, y debe ser eliminado mediante cirugía y técnicas muy especializadas, que suponen un problema para los sistemas sanitario por el elevado coste económico de su tratamiento. En la actualidad, la inmunoterapia ha demostrado resultados positivos, pero en un porcentaje de pacientes relativamente bajo del 20-30%. Otro inconveniente es que hasta el momento se desconocen factores capaces de determinar, previo al tratamiento, qué pacientes se beneficiarán de dicho tratamiento.

Combinar inmunoterapia con un inhibidor epigenético

Recientemente se ha descrito la vinculación entre el cáncer de vejiga y tener alterados ciertos factores epigenéticos, mecanismos moleculares que afectan a la regulación génica, es decir, que condicionan la expresión de genes implicados en el desarrollo del cáncer. Esto sucede con las proteínas epigenéticas G9a y DNMT. En este trabajo, coordinado por Felipe Prósper, de la Clínica Universidad de Navarra; Xabier Agirre, del Cima; y Jesús M. Paramio, del CIEMAT y el Hospital Universitario 12 de Octubre, los investigadores han desarrollado un compuesto, el CM-272 capaz de bloquear la actividad de estas proteínas, y han examinado su eficacia en un modelo de ratón transgénico que desarrolla tumores de vejiga agresivos y metastásicos. Así, la administración de CM-272, junto con tres dosis de inmunoterapia anti-PDL1, provocó la muerte de las células cancerígenas y la activación del sistema inmune, potenciado el efecto de la inmunoterapia y eliminando, en el primer mes de tratamiento, más de un 85% de los tumores y metástasis. Además, con este estudio, los investigadores determinaron el papel de la proteína epigenética G9a como biomarcador relacionado con la respuesta al tratamiento combinado.

Estos resultados suponen un avance significativo en la medicina personalizada contra el cáncer y, en concreto, en el manejo de este tipo de tumores, ya que favorecen la respuesta al tratamiento con inmunoterapia en un mayor porcentaje de pacientes, y permiten reconocer, analizando previamente la proteína epigenética G9a, qué pacientes que se podrían beneficiar de estos tratamientos.

Actualmente, además de analizar si efectos similares se pueden encontrar en otros tipos de tumores, se ha comenzado a trabajar en el diseño de los ensayos clínicos que permitirían validar los resultados obtenidos en este estudio y determinar si es posible trasladar este tratamiento  a la clínica.

Referencia artículo

Inhibition of a G9a/DNMT network triggers immune-mediated bladder cancer regression