Ministerio de Ciencia e Innovación

Describen por primera vez un modelo de Carcinoma Sarcomatoide Pulmonar

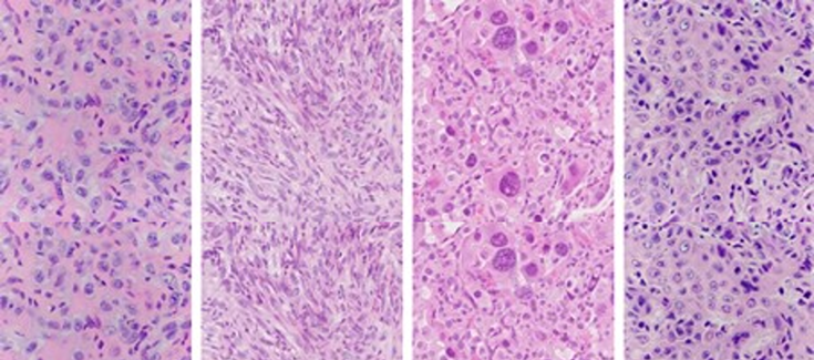
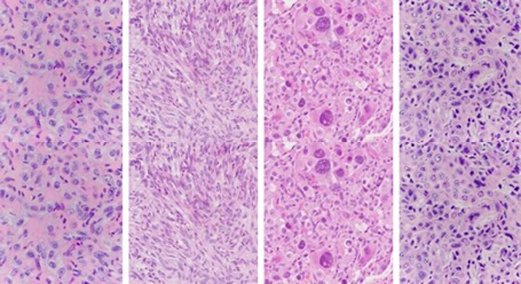
Variantes histológicas desarrolladas en el modelo de carcinoma sarcomatoide pulmonar
CIEMAT | jueves, 15 de septiembre de 2022

Personal investigador del CIEMAT -en colaboración con CIBERONC- describe por primera vez un modelo de Carcinoma Sarcomatoide  Pulmonar, un tipo de cáncer de pulmón de muy mal pronóstico y limitadas opciones terapéuticas. Los trabajos de investigación que han llevado al desarrollo de este modelo se han publicado recientemente en la revista  Cancers.

Estas investigaciones han sido realizadas en su práctica totalidad por miembros del CIEMAT pertenecientes a la Unidad de Oncología Molecular, coordinados por Mirentxu Santos, investigadora del Centro de Investigaciones Energéticas, Medioambientales y Tecnológicas (CIEMAT), el Centro de Investigación Biomédica en Red de Cáncer (CIBERONC) y el IIS del Hospital 12 de Octubre  (IIS-H12O). 

Dentro de la categoría de los carcinomas no microcíticos de pulmón, el Adenocarcinoma  representa el tipo más común, con varios modelos descritos y opciones terapéuticas para los pacientes que permiten mejoras considerables en su supervivencia. En contraposición a este tipo, el Carcinoma Sarcomatoide Pulmonar  es uno de los más letales y raros, con escasa disponibilidad de material de pacientes, sin terapias eficaces y para el que hasta la fecha no se disponían de modelos para la investigación preclínica.

Los trabajos recientemente publicados describen por primera vez un modelo de Carcinoma Sarcomatoide Pulmonar generado por la desactivación de los supresores tumorales  Pten y Trp53, a la vez que se desarrollan también Adenocarcinomas.  En determinadas condiciones experimentales (inducción de daño en el epitelio pulmonar por la administración de naftaleno) se favorece el desarrollo de tumores sarcomatoides. Los análisis anatomopatológicos, inmunohistoquímicos, moleculares, genómicos  y transcriptómicos realizados revelaron fuertes similitudes con sus homólogos humanos.

Estos datos ofrecen una nueva visión en la biología de ambos tipos de tumores, proporcionando un marco adecuado de excepcional utilidad para  analizar las relaciones entre ellos y la posible evolución de adenocarcinoma a tumores sarcomatoides (de peor pronóstico y sin opciones terapéuticas), así como para  el desarrollo y ensayo de nuevos compuestos e investigaciones preclínicas.

Este trabajo ha sido posible gracias a las subvenciones obtenidas del Instituto de Salud Carlos III y de los fondos de la Unión Europea; y a los contratos predoctorales del CIEMAT (Sara Lázaro) y Plan de Empleo Juvenil de la Comunidad Autónoma de Madrid (Iván Seller).

Referencia del artículo:

 "Pten and p53 Loss in the Mouse Lung Causes Adenocarcinoma and Sarcomatoid Carcinoma". Sara Lázaro, Corina Lorz, Ana Belén Enguita, Iván Seller, Jesús M. Paramio, Mirentxu Santos. Cancers 14, no. 15: 3671.  Sitio web: http://www.mdpi.com/2072-6694/14/15/3671